
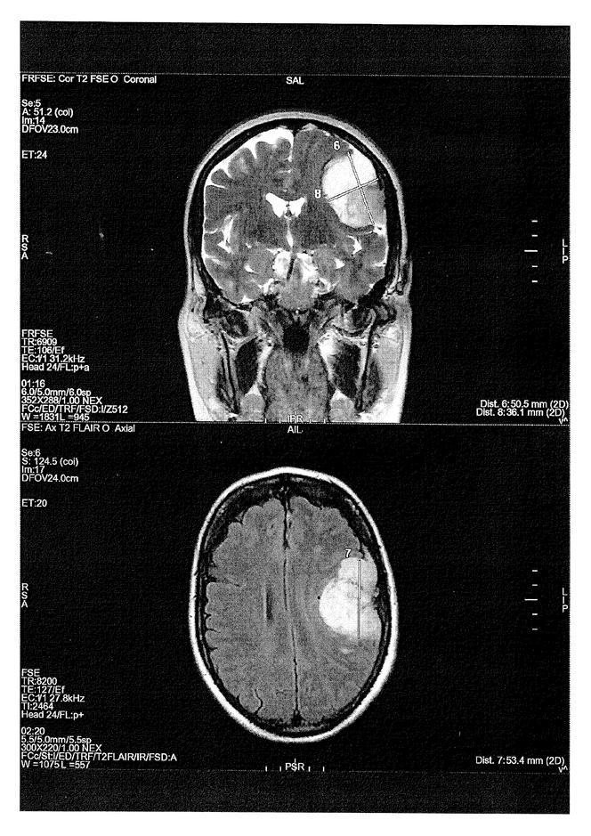
Une IRM montrant un méningiome provoqué chez une victime par la prise d’un progestatif. DOCUMENT LE MONDE Un nouveau front judiciaire s’ouvre dans l’affaire de l’Androcur,cette pilule miracle prescrite pendant des années pour traiter l’endométriose,l’acné,la chute de cheveux ou encore comme moyen de contraception,mais à l’origine de tumeurs du cerveau (méningiomes) chez des centaines de femmes. Selon les informations du Monde,une plainte contre X a été déposée mardi 5 novembre devant le tribunal judiciaire de Paris par l’Amaeva,l’association qui regroupe les victimes de l’Androcur et des autres traitements hormonaux dérivés de la progestérone (Lutényl,Lutéran…). Elle vise cinq infractions pénales : administration de substance nuisible,atteinte involontaire à l’intégrité de la personne,mise en danger d’autrui,non-signalement d’effet indésirable,tromperie aggravée.
« La gravité des situations médicales et le nombre des victimes justifient que le parquet du tribunal judiciaire de Paris ouvre une information judiciaire et organise un grand procès pour les victimes de l’Androcur »,estime Charles Joseph-Oudin,l’avocat de l’Amaeva,qui compte aujourd’hui plus de 1 000 membres.Dans son cabinet,une pièce est consacrée à chaque grand scandale sanitaire lié à des médicaments : Mediator,Dépakine et déjà 250 dossiers pour l’Androcur. Plusieurs plaintes sont prêtes à être déposées après celle de l’Amavea,toujours au pénal,mais à titre individuel,par des victimes de l’Androcur et d’autres progestatifs.
Elles racontent toutes les mêmes histoires. Des gynécologues ou des endocrinologues qui prescriventle médicamentsans alerter les patients du risque de méningiome,l’apparition de symptômes (céphalées,troubles de la vision…),la découverte de tumeurs à la suite d’IRM du cerveau,une intervention chirurgicale à risque pour retirer des tumeurs,des séquelles invalidantes (fatigue,maux de tête,perte de la vision ou auditive,troubles neurocognitifs,épilepsie…) plusieurs années après l’opération.
Il vous reste 56.5% de cet article à lire. La suite est réservée aux abonnés.
© Affaires Officielles